Upper Eyelids

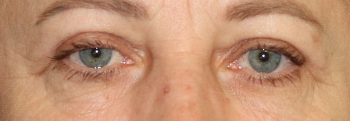
Before and after upper eyelid surgery/ blepharoplasty.

Start your
Journey

CONTACT US219-322-3131